详情
帕金森病
什么是帕金森病

脑黑质超声是如何检查的?
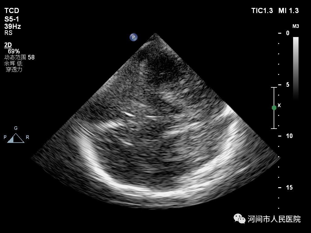
患者取仰卧位,检查者将探头紧贴于患者颅骨两侧颞窗进行检查。

正常的中脑黑质类似一只黑色的蝴蝶,其内部回声呈均质的低回声。

黑质超声是如何分级的?
I级:呈均匀分布的低回声;Ⅱ级:见散在点状、细线状稍强回声;Ⅲ级:回声呈斑片状增强,低于脚间池回声;Ⅳ级:回声呈斑片状增强,等于脚间池回声;V级:回声呈斑片状增强,高于脚间池回声。
哪些人需要做脑黑质超声呢?

脑黑质超声检查需要做哪些准备呢?
此项检查无需任何准备,吃饭、喝水、吃药等均不影响检查,目前,我院已经开展黑质超声检查技术,为临床医生诊断和鉴别帕金森综合征提供了科学依据。
有需要进行该项检查或有其他问题的,欢迎来院咨询。
扫二维码用手机看
扫描关注公众号
