详情
新生儿颅脑超声是通过患儿尚未闭合的囟门对颅内结构及病变进行检查及诊断,并进行预后评估,与CT、MR等成像技术构成互补关系,但它有着更强的实用价值,可床旁检查,而且无需特殊准备、无创、无辐射、无痛苦,绝对称的上为绿色检查。
目前,我院超声科配有新生儿颅脑专用探头,图像清晰,如需进行此项检查,请咨询0317-3275278。


新生儿颅脑超声
可以诊断哪些疾病呢?


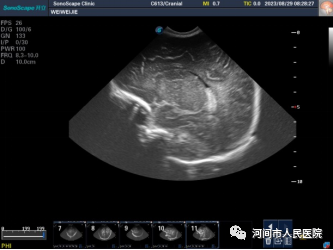
▲正常图像

▲新生儿室管膜下囊肿

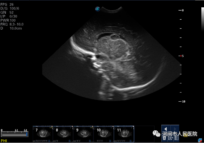
▲新生儿脑室内出血

▲新生儿缺血缺氧性脑病

▲新生儿脑积水
扫二维码用手机看
扫描关注公众号
